
The technique that I learned for doing regular braces has changed greatly over the years. When I first learned how to do braces, all that we did was to make the teeth straight, so they looked good. Then, I met Dr. Brendan Stack, and that changed completely. Dr. Stack explained to me that he noticed how well patients felt when the back teeth were erupted taller to better support the jaw joints- the TMJ. Since the earlier days of my training with Dr. Stack, I have since changed my approach and my belief in how braces (or aligners like Invisalign) should really be done. Please allow me to explain.
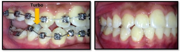
One of the best ways that I explain to our patients when it comes to braces is by telling them to imagine that they have a couple back teeth taken out. When this happens, the jaw bone (condyle) will actually now go deeper into the socket and can pinch the protective disc on the top of the condyle. Now let’s think the opposite way- if you were to grow the back teeth just a bit taller, this would create more room for a disc that might be out of place (which happens with so many people). So what I like to do is to take an xray and determine the position of the condyle in the socket and see if it looks like there is enough space for the disc on each side. If it looks like we could use a bit more space, then I will do the braces like you see below in the picture. Notice what I call the ‘turbo’- a plastic buildup that creates a ‘fulcrum’ or lifting point. The wire is straight when placed into the brackets and it will tend to erupt those back teeth which will provide more support for the TM joints.
Granted, such a technique is so much more complicated than regular braces, and something like Invisalign is not capable yet of erupting teeth, but the 3 Dimensional orthodontics works extremely well. Having done hundreds of cases in this fashion just in the last few years, I have seen a huge success rate. Admittedly, when it becomes complicated like this, it will cost more, but in the long run the cost has proven to be worthwhile for everyone!
Let me also be quite clear- braces in general do NOT treat TMD issues and in fact usually make things worse. Braces are designed to simply make the teeth look straight. It is important to note that you must first work with the joints and the discs and find the position that is most comfortable to the patient – this is done with appliance therapy. Once the cranial bones are more level and the discs are in good position, only then do you consider braces to establish taller teeth to support the jaw joints.
I have taught this technique all over the world now and must admit that it takes some extra training to do this, but again it’s well worth it because now you can help that patient more than ever before. By getting the condyles in proper position, this protects the very fragile discs in the TM joints and helps to alleviate the many symptoms of TMD: head/neck pain, migraines, dizziness, blepharospasms, and even tics. Doing three dimensional braces is a great thing to help your patient have a higher quality of life.