The Case of the Troubled Thumb

Posted .

When we see a little kid sucking their thumb, many people think that it looks harmless and sometimes even cute. Little do they know that thumb sucking leads to all sorts of damage to the skull and the airway! In today’s blog I would like to go into some of the reasons why you should figure out why thumb sucking needs to be addressed at an early age.

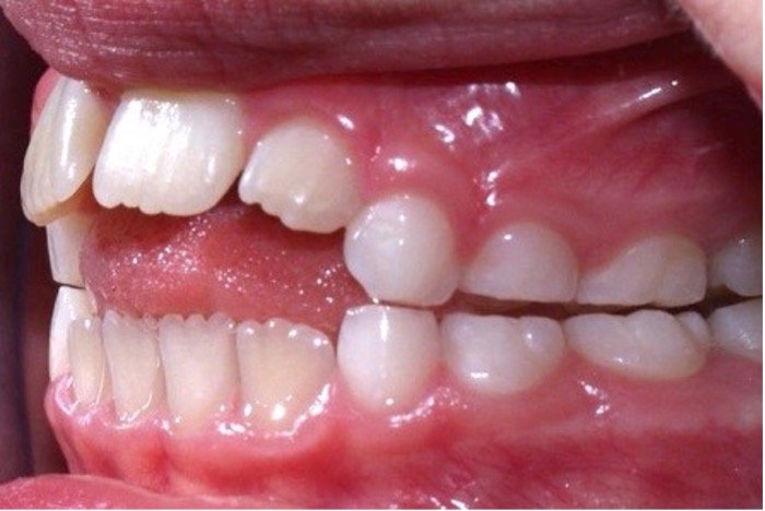
One of the first problems that occurs with thumb sucking is that the upper teeth will be pushed forward while the lower teeth are pushed backward. This has now created an orthodontic nightmare that will require extensive treatment. However, a bigger concern is that thumb sucking will cause the palate to become more narrow, which creates an even bigger issue: breathing difficulty! You see, as that rogue thumb pulls the upper teeth forward, it also causes the palate to ‘mold’ around the thumb and the palate becomes more narrow which means the tongue can no longer reach to the roof of the mouth for good nasal breathing. Breathing through the nose is very important to good health because when we breathe through our nose, we create a molecule called nitric oxide which helps to repair the body.

Another aspect of thumb sucking is that it pulls the upper jaw forward and creates an anterior open bite, i.e. the front teeth are so far forward that the lips cannot close and get a good seal. This creates an environment of dehydration and the lips, tongue, palate, and other tissue become more dry over time. You are then more prone to infection because saliva is unable to keep things moist like nature intended. Saliva itself is antibacterial in nature so with less saliva, there can be more infections.

The bottom line with thumb sucking is that it can be deleterious to the dentition- the teeth- and to whole body health in general. The thumb sucking behavior needs to be stopped early on to avoid heavy duty braces later on.